Early oral issues can be a warning sign of more serious sleep apnea problems.
Most people don’t realize that they can talk to their orthodontist about any sleep apnea concerns they may have. Receiving proper oral care can allow your sleep apnea issues to be recognized early. Are you experiencing snoring, insomnia or grinding of the teeth? We can get you started on the proper treatment for any sleep apnea disorders.
We are proud to offer Airway Consultations for adults and children of all ages. That comprehensive exam includes:
- All records (photos, digital imaging and digital scans as necessary)
- An in-depth examination and explanation of findings and any recommended treatment by Dr. Kuhta
- Subsequent communications between our office and other providers, such as the referring physician or dentist
Pediatrics
Does Your Child Snore?
If your child is experiencing excessive daytime sleepiness, mouth breathing, snoring or morning headaches, they may be suffering from sleep disordered breathing. Research shows up to 5% of children have sleep apnea, and that does not take into account the children who are on the sleep disordered breathing spectrum. Chronic mouth breathing is often due to an airway obstruction and will alter the way a child’s jaw and airway form. Early diagnosis is key to preventing the need for surgical correction when the patient is older. An airway obstruction leads to poor sleep quality and subsequent neurocognitive developmental issues. We have the ability with expanders and dentofacial orthopedic appliances to change the size and shape of the airway in our growing patients. Dr. Kuhta is passionate about airway development and has attended lectures all over the country to provide cutting edge treatment. She works with a specialized airway team to monitor and evaluate every patients progress when undergoing airway development in our office. Every patient in our practice is evaluated for airway and sleep disordered breathing issues.What to look for:
- tongue or upper lip tie (a tongue tie prevents the upper jaw from growing properly)
- dry or chapped lips
- red, inflamed gum tissue (a sign of mouth breathing)
- history of chronic ear infections
- chronic allergies, runny nose, or nasal obstruction
- any crossbite of the teeth
- crowded baby teeth
- anterior open bite (when the front teeth do not overlap)
- snoring
- grinding
- bed wetting
- restless sleep at night (lots of movement)
- ADHD like symptoms, hyperactive, inability to pay attention to tasks
What else could be involved with airway treatment?
Dr Kuhta may ask you to seek treatment with an additional team member:
- ENT to evaluate the tonsils and adenoids
- Myofunctional therapist, a specialist who helps re-train the tongue
- Specialist to release a tongue or lip tie
What is the best age to bring my child in for an airway exam?
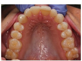
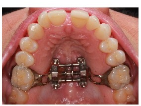
The best age is as soon as it is suspected there are airway issues, our youngest patient is 2.5 years old. The sooner we recognize an airway issue, the greater the chances of achieving harmonious physical and neural growth and development. Below are examples of patients in our practice who have undergone airway development for pediatric sleep apnea or sleep disordered breathing:Adults
We recognize many adults need expansion treatment but that becomes more difficult as we age. Adults with sleep disordered breathing present with many symptoms that can include, snoring, open mouth breathing, sleep apnea, upper respiratory resistance syndrome, and trouble falling or staying asleep. The goal is to determine why these symptoms are present and what can be done to improve the patient’s quality of life with appliances or surgical recommendations. Dr. Kuhta uses specialized bone supported expanders to change the shape of the jaw and not just mask the problem. Every treatment plan is specialized to your needs and aims to alter the way in which you breathe. Dr. Kuhta offer’s non-surgical and minimally invasive surgical options to expand or widen the upper jaw. Using bone-based expanders the goal is to widen the jaw and not just tip the teeth. By expanding the jaw with TAD-based (or mini implant) expanders, you can improve airway, increase room for the tongue, open the nasal cavity and correct crossbites. Skeletal expansion on adults can be life changing! If you are interested in the maxillary skeletal expander (MSE) your next step is scheduling an airway consultation. From there we determine if you are a possible candidate and progress to 3-D imaging to evaluate the probable success of expansion. Before your appointment if you would like to research MSE appliances, Dr. Kuhta would be happy to answer any specific questions.





